https://g.page/r/CQ1Aky9TOJsDEAE/review
Procedimiento de Acessa

Procedimiento de Acessa

Por qué Acessa Porque te mereces una vida sin síntomas de fibromas. Y, contrariamente a la creencia popular, la histerectomía no es la única forma de llegar allí. Es por eso que creamos una alternativa centrada en la mujer a la histerectomía y la miomectomía para los miomas. Es un procedimiento mínimamente invasivo que se realiza el mismo día para tratar el fibroma sin causar grandes cicatrices, lesiones en el útero y una recuperación más rápida que una miomectomía o histerectomía. Es el tratamiento que trata con cuidado el cuerpo de la mujer.

Más información  
Burch Retropubic Urethroplexi

Burch Retropubic Urethroplexi

Una colposuspensión de Burch es un procedimiento que ha sido probado y verdadero durante décadas como un medio para ayudar a aliviar la pérdida de orina por incontinencia de esfuerzo. Su modificación a la laparoscopia y cirugía robótica significa incisiones más pequeñas y una recuperación más rápida. se ha vuelto popular nuevamente debido a la mala prensa y los resultados relacionados con el uso de malla en la cirugía.

Más información  
Colporrafia (cirugía de prolapso)

Colporrafia (cirugía de prolapso)

El prolapso de la pared vaginal es una ocurrencia común en mujeres mayores, mujeres obesas, mujeres que levantan objetos muy pesados o han tenido hijos. Una colporrafia es un procedimiento quirúrgico que se utiliza para corregir este prolapso y eliminar el bulto y sus síntomas. Anterior se relaciona con la pared superior de la vagina, posterior es la pared posterior.

Más información  
Dilatación y curetaje (D&C)

Dilatación y curetaje (D&C)

Una dilatación y legrado es un procedimiento rápido que se realiza para tomar una muestra del revestimiento del útero más de lo que puede hacerse con una biopsia endometrial O para eliminar un embarazo que ha fallado o que no ha pasado por completo.

Más información  
Ablación endometrial

Ablación endometrial

Para las mujeres que han terminado con la maternidad, la ablación endometrial es un procedimiento de 5 minutos no hormonal, seguro y conveniente que puede reducir eficazmente el sangrado o incluso eliminar su período por completo.

Más información  
Enplace

Enplace

A novel approach to correct pelvic organ prolapse without the need for mesh or hysterectomy

Más información  
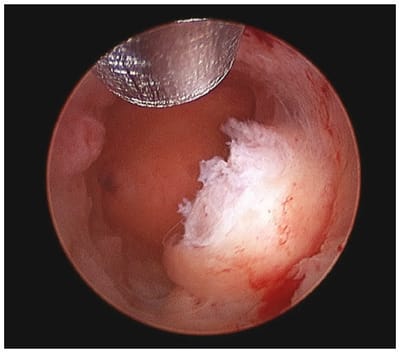
Tratamientos de fibromas

Tratamientos de fibromas

Los fibromas son tumores de células del músculo liso que pueden crecer en el útero y causar problemas. Existen múltiples opciones para tratar esta afección, pero desafortunadamente, demasiadas mujeres se ven obligadas a someterse a una histerectomía. Esta guía ayuda a educar sobre las diferentes soluciones disponibles para una mujer con este problema.

Más información  
Histerectomía

Histerectomía

Así que mi médico me recomendó que me hiciera una histerectomía. Qué significa eso? ¿Qué sucede durante el procedimiento? ¿Necesito este procedimiento? ¿Hay alternativas? Con demasiada frecuencia, a las mujeres se les prescribe histerectomía cuando no la necesitan O no se les ofrece un método mínimamente invasivo. Además, conocer la terminología ayuda a comprender qué se hace y por qué.

Más información  
Histeroscopia

Histeroscopia

La histeroscopia es un procedimiento mínimamente invasivo muy útil para investigar la cavidad endometrial (dentro del útero) para descubrir las causas de problemas como sangrado abundante o infertilidad y utilizarlo como cirugía para solucionar estos problemas encontrados. Es una cirugía el mismo día con calambres mínimos y sin incisiones.

Más información  
Tratamientos de Incontinencia

Tratamientos de Incontinencia

La incontinencia urinaria se presenta si existen varios tipos y conocer el diagnóstico correcto ayuda a orientarlo hacia la solución para resolver este problema. Con demasiada frecuencia se aplica un tratamiento incorrecto que solo aumenta la frustración del paciente.

Más información  
Labioplastia

Labioplastia

A quick review of a surgical procedure used to decrease the size & volume of large labia minora or lips. It can also be used to cosmetically improve the look of the labia

Más información  
Cirugía laparoscópica

Cirugía laparoscópica

La laparoscopia es una técnica de cirugía mínimamente invasiva que utiliza pequeñas incisiones, una cámara e instrumentos especializados para realizar una variedad de intervenciones. Este enfoque minimiza las cicatrices, el dolor y permite una recuperación más rápida en comparación con la técnica abierta tradicional o laparotomía.

Más información  
Laparotomía

Laparotomía

La laparotomía es una técnica de cirugía para acceder a las cavidades abominal y pélvica. Utiliza una incisión abierta tradicional para permitir el acceso. Este enfoque proporciona la mejor vista y acceso, PERO causa más dolor y cicatrices.

Más información  
Cirugía láser

Cirugía láser

La cirugía con láser es una herramienta para proporcionar una destrucción de profundidad mínima y precisa de las lesiones en el área genital que justifican la extirpación, pero evita disecciones extensas, dolor y cicatrices.

Más información  
Leep

Leep

LEEP es un tratamiento quirúrgico para las displasias cerivcales (anormales) de Papanicolaou de alto grado que, si no se controlan, podrían progresar a cáncer de cuello uterino.

Más información  
Myomectomy

Myomectomy

quick list with links to different surgeries listed under myomectomy

Más información  
Novasure

Novasure

Novasure es una cirugía simple y mínimamente invasiva para reducir o detener por completo su sangrado menstrual abundante. Tiene una alta tasa de éxito y puede tratar eficazmente su sangrado abundante sin recurrir a una histerectomía. Es mejor reservarlo para mujeres que han completado la maternidad.

Más información  
Ooforectomía

Ooforectomía

La extirpación de uno o ambos ovarios se llama ooforectomía. Es una cirugía independiente y NO es parte de una histerectomía. Pueden ocurrir varias patologías graves que justifiquen su extirpación, pero también afecciones benignas como los quistes NO. Si una mujer está cerca de la menopausia, hay más énfasis en considerar la extirpación de los ovarios. Independientemente, existen algunas implicaciones con la producción hormonal si se elige esta.

Más información  
Histeroscopia Operativa

Histeroscopia Operativa

La histeroscopia operatoria es la esencia de la cirugía mínimamente invasiva. Utiliza una cámara operatoria insertada en la cavidad uterina para solucionar problemas localizados allí sin tener que recurrir a una histerectomía. Además de los cólicos menstruales, es una recuperación rápida sin incisiones.

Más información  
Cistectomía ovárica

Cistectomía ovárica

La cistectomía ovárica es una cirugía mínimamente invasiva (laparoscópica o robótica) para extirpar un quiste ovárico grande o sintomático, pero conserva el ovario.

Más información  
Embolización de venas ováricas

Embolización de venas ováricas

Este procedimiento único es proporcionado por un especialista llamado radiólogo intervencionista para aliviar una forma única de dolor pélvico.

Más información  
Tratamientos de Prolapso de órganos pélvicos

Tratamientos de Prolapso de órganos pélvicos

La cirugía de prolapso de órganos pélvicos ayuda a corregir los defectos anatómicos o la falta de apoyo que pueden ocurrir en las mujeres, especialmente en las mujeres mayores. Existen múltiples terapias que incluyen pesario, terapia del piso pélvico y cirugías específicas.

Más información  
Polypectomy

Polypectomy

Los pólipos son una causa común de sangrado menstrual abundante, sangrado a mitad del ciclo o sangrado poco después del coito. La extirpación de estos pólipos con un histeroscopio puede reducir estos problemas de sangrado sin comprometer su útero o fertilidad.

Más información  
Neurectomía presacral

Neurectomía presacral

La neurectomía presacra es otra técnica quirúrgica mínimamente invasiva para aliviar el dolor pélvico crónico. Puede aliviar el dolor de calambres menstruales severos o la dismenorrea o usarse junto con la cirugía de endometriosis.

Más información  
Resección transcervical de Endometrio

Resección transcervical de Endometrio

La resección transcervical del endometrio o TCRE es una forma de reducir todo el volumen del tejido de la cavidad endometrial para reducir el sangrado o se usa junto con la ablación endometrial para mejorar las tasas de éxito.

Más información  
Sacrocolpoplejía

Sacrocolpoplejía

Una sacrocolpopexia es un procedimiento quirúrgico más definitivo que se usa para tratar el prolapso de órganos pélvicos, que es causado por un debilitamiento del soporte normal del piso pélvico.

Más información